06.10.25 | Tecnologia | Matheus Telka Gonçalves | Tempo de leitura aproximado:
Como melhorar a detecção de lesões na ressonância magnética de parede vascular?
Como melhorar a detecção de lesões na ressonância magnética de parede vascular?
O SwiftMR pode te ajudar!
Hoje vamos aprofundar um tema essencial para operadores de ressonância e médicos: o desafio de obter imagens de parede vascular intracraniana (VWI) com qualidade suficiente para identificar pequenas lesões arteriais, que são fundamentais para o diagnóstico e a conduta clínica.
O que é o VWI e por que ele é desafiador?
O VWI é usado para investigar doenças como a aterosclerose intracraniana, contribuindo na avaliação de pacientes com risco de AVC. Mas, na prática, esses exames exigem alta resolução espacial e baixo ruído para que as lesões fiquem visíveis. Isso nem sempre é fácil de atingir: quanto maior a resolução, maior tende a ser o tempo de exame e a suscetibilidade a artefatos.
O que o SwiftMR trouxe de inovação?
Um estudo publicado na Scientific Reports analisou imagens de 117 pacientes e comparou a performance de imagens convencionais (Conv-VWI) com imagens processadas pela inteligência artificial SwiftMR (DL-VWI).
Os resultados mostram avanços impressionantes:
- Melhoria significativa na qualidade da imagem (maior SNR e CNR)
- Detecção de mais lesões de parede arterial
- Aumento expressivo na detecção de hemorragia intraplaca (IPH): de 23,5% para 70,6%
- Maior confiança diagnóstica mesmo em imagens com artefatos
- Benefício inclusive para imagens sem contraste — ideal para pacientes com contraindicação

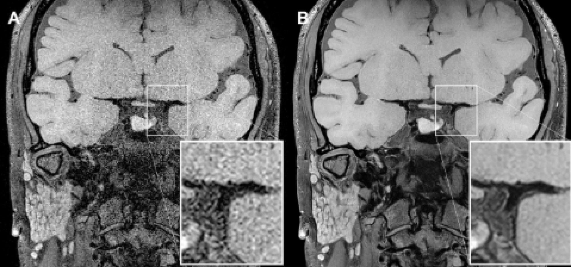
Figura 1: Comparativo de qualidade de imagem: à esquerda, VWI convencional; à direita, VWI aprimorada com SwiftMR, com redução significativa do ruído e maior definição da parede vascular.
O que isso significa para sua prática clínica?
Com o SwiftMR, radiologistas e operadores podem trabalhar com imagens mais limpas e detalhadas, sem exigir tempos longos de aquisição. Isso impacta diretamente na detecção de lesões sutis e na caracterização das placas ateroscleróticas, com implicações importantes para a decisão clínica.

Figura 2: Melhor detecção de lesões na parede arterial: SwiftMR aumenta a nitidez e conspicuidade, facilitando a identificação de hemorragia intraplaca e outras alterações.
Resumindo: o SwiftMR permite ver melhor e ver mais.
Quer testar o impacto dessa tecnologia na sua clínica?
Entre em contato e agende um teste do SwiftMR! Clique aqui.
Referência:
Seo, M., Jung, W., Jeong, G. et al. Deep learning improves quality of intracranial vessel wall MRI for better characterization of potentially culprit plaques. Sci Rep 14, 18983 (2024). https://doi.org/10.1038/s41598-024-69750-4
Disponível para leitura completa em: https://www.nature.com/articles/s41598-024-69750-4